News
Article
Pharmaceutical Technology
Author(s):
Companies continue to develop inhaled insulin and other drugs, despite the problems that Pfizer's "Exubera" experienced.
Pharmaceutical companies that face dwindling new-drug pipelines are pursuing new delivery methods for their drug products. One strategy is to develop respiratory delivery techniques for drugs that are now administered by injection. Pfizer's (New York) "Exubera" product and Novo Nordisk's (Bagsvaerd, Denmark) "AERx" treatment were high-profile examples of this gambit. Although these companies stopped supporting their new drugs after they failed to meet market expectations, researchers and manufacturers still consider respiratory delivery of biologicals a viable option.

ART DIRECTION: MELISSA MCEVOY. BACKGROUND/SPACESHIP: CHAD BAKER/GETTY IMAGES. ASTRONAUTS: PHILIP LAURELL/GETTY IMAGES
The rise of Exubera
When Pfizer and its development partner Nektar Therapeutics (San Carlos, CA) introduced the Exubera inhaled-insulin product in summer 2006, respiratory drug delivery enjoyed a moment in the spotlight. No company had manufactured an inhaled insulin before, and Exubera was projected as a potential blockbuster.
John Patton, chief scientific officer and cofounder of Nektar, says that Exubera is a friendly option for patients who otherwise would postpone taking injected insulin for years. Exubera thus can reduce premature death and the early advancement of diabetes sequelae that patients would otherwise suffer, according to Patton. Patients also appreciate the fact that Exubera is the first room-temperature stable insulin formulation.
The product has therapeutic benefits as well. "Exubera's onset is just as fast as that of monomeric insulin, yet it has a longer release profile and lasts longer," according to Patton. He notes that Exubera patients' postprandial and fasting-plasma glucose levels were lower and closer to normal than those of patients who injected insulin.

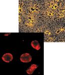
Fluorescence-dye solution (above) and microscopy imaging (left) of fluorescence-labeled pulmonary "CaP" insulin parti-cles from BioSante. (PHOTOS COURTESY OF BIOSANTE PHARMACEUTICALS)
Robert E. Sievers, professor of chemistry at the University of Colorado and CEO of Aktiv-Dry (Boulder, CO), says Exubera was "a scientific tour de force." He adds that the inhaler that delivered the drug was "a wonderful mechanical apparatus." Aktiv-Dry uses Exubera as a standard against which to measure its own respiratory drug-delivery devices. "That speaks a lot for it," Sievers observes. "It says that Exubera works, both the powder and the inhaler."
Exubera falls
Despite Pfizer's best efforts, Exubera's sales were disappointing, and in Oct. 2007, Pfizer decided to stop investing in Exubera. In a company press release, Jeff Kindler, Pfizer's chairman and CEO, said that Exubera had "failed to gain the acceptance of patients and physicians."
What went wrong? Richard Dalby, professor of pharmaceutical sciences at the University of Maryland, notes that Exubera's device is 16 cm tall, while pressurized metered-dose inhalers are generally 9 cm tall. Exubera's size might have been off-putting to patients and healthcare workers more familiar with syringes and injection pens.
"A larger problem was the realization that most patients would require concomitant administration of a long-acting insulin, which was only available by injection," Dalby observes. "In effect, Exubera added to the complexity of a diabetic's drug regimen rather than simplifying it or making it less painful."
Stephen M. Simes, president and CEO of specialty drug company BioSante Pharmaceuticals (Lincolnshire, IL) makes a similar point, noting that Exubera was impractical because it required an "almost one-for-one replacement of injection with inhalation."
"Doctors didn't think it brought the patient that much additional advantage," Sievers says. Physicians decided it would be easier to continue therapeutic regimens that were familiar to patients, rather than encourage something that was new and, in their view, unnecessary.

A model demonstrates the use of Aktiv-Drys "PuffHaler" inhalation device. (PHOTO COURTESY OF AKTIV-DRY)
The quest continues
Although Pfizer abandoned Exubera, and Novo Nordisk discontinued its development of AERx, respiratory delivery of biological therapies is still a live prospect. "The possibility of commercializing inhalation of long-acting insulin or combinations of long- and short-acting insulin exists," says Dalby. He adds that Exubera benefited from "a well-funded and sustained research effort that has allowed us to learn more about the strengths and weakness of inhaled biomolecules." Dalby notes that Pfizer's experience opens the door for manufacturers to develop respiratory delivery of other biologicals, particularly those with a wide therapeutic index.
Pfizer itself has apparently not abandoned its quest for inhaled insulin. In Feb. 2008, Reuters reported that Pfizer would invest EUR 130 million ($189 million) to build a facility that formulates and manufactures inhaled drugs. Pfizer chose to construct the unit at its Amboise, France, production plant.
In a statement on Oct. 18, 2007, Kindler said, "We remain committed to investing significant resources in the development of new and innovative medicines to manage diabetes, including monitoring inhalation technologies and other innovative delivery systems for insulin and other medicines."
Nektar is working on improvements to Exubera. The company simplified its insulin formulation by removing some excipients, Patton remarks. The new formulation can be delivered by a device "that you can hide in the palm of your hand," he says. Unlike the old device, the new inhaler is breath-activated. It "has a trigger that won't release air until you've achieved a certain pressure," Patton explains. He adds that the new device is less complicated and provides simpler dosing than the old device.
After discontinuing development of its fast-acting AERx medicine, Novo Nordisk decided to refocus its inhaled-insulin program. In a Jan. 14, 2008 press release, Lars Rebien Sørensen, the company's president and CEO, said, "We have concluded that fast-acting inhaled insulin in the form it is known today is unlikely to offer significant clinical or convenience benefits over injections of modern insulin."
The company announced it would increase its research and development activities to create inhalation systems for long-acting formulations of insulin and glucagon-like peptide-1 (GLP-1), which increases insulin secretion from the pancreas. An inhaled, long-acting insulin would eliminate the need for injections, which Exubera failed to do.
BioSante is pursuing the same goal as Novo Nordisk. Simes says BioSante has developed formulations for the delivery of long-acting proteins into the lungs. The company cooperated with the University of North Carolina on its "CaP" project to prolong the delivery and biologic effect of insulin (as the model protein) into the lungs. BioSante is now looking for a development partner for insulin as well as other proteins.
"The CaP approach uses calcium phosphate particles as the delivery system for insulin and other proteins," according to Simes. He thinks the approach has potential for controlled drug release. The technique would be easy to administer, compared with injections, and most likely acceptable to prescribers and patients, according to BioSante.
The CaP protein system can be delivered as a powder, which would enable the use of an inhaler. In contrast to Exubera, Simes explains, "CaP should result in better bioavailability, less frequent dosing, and a lower amount of protein per dose."
Alfred Mann, CEO of MannKind (Valencia, CA), expresses confidence that his company's "Technosphere Insulin" will succeed. Technosphere Insulin is a microparticle powder made from fumaryl diketopiperazine and insulin. A patient loads a powder-filled cartridge into the device and inhales to obtain a dose of insulin. The powder particles have an average diameter of 2 μm and a highly porous surface topography. The particles penetrate deep into the lungs. When they contact the lung surface, they instantly dissolve and release the insulin molecules in a monomer form. Technosphere Insulin is the only inhaled insulin that contains insulin monomer, the form that can readily be used by the body, according to MannKind.
Unlike Exubera, Technosphere Insulin has advantages over rapid-acting insulin analogs, MannKind says. The benefits include a reduction in postprandial glucose excursions, comparable levels of glucose control compared with HbA1c (which is considered the standard measure of a diabetes drug's effectiveness), and a lower risk of hypoglycemia.
Delivering aerosols to the lung
Pharmaceutical companies would not continue their inhaled-insulin programs unless respiratory delivery provided a tangible benefit for patients and made economic sense. But before inhalable insulin formulations were developed, aerosols were used to treat respiratory diseases such as asthma, cystic fibrosis, and chronic obstructive pulmonary disease. Drugs for these diseases remain the dominant segment of the respiratory-delivery market.
Patton says that respiratory delivery is a good option for treating chronic respiratory conditions. He notes that at least 40 inhalation drugs have been approved, Genentech's (South San Francisco, CA) "Pulmozyme" among them, and they are considered relatively safe. "Pulmozyme has proven to be a quite safe protein with chronic use-in sick lungs-over a decade," Patton remarks (1).
Genentech developed the Pulmozyme biological as an inhalation solution to manage cystic fibrosis. The US Food and Drug Administration approved the drug product in 1993.
Companies are seeking new inhalation treatments for cystic fibrosis. For example, BioSante is examining the possibility of using its CaP system for respiratory delivery of α1 -antitrypsin. This medicine for cystic fibrosis could also be used to treat emphysema and venous thromboembolism, according to the company.
Scientists have investigated respiratory-delivery methods for drugs that manage pulmonary hypertension (PH), including iloprost. In Dec. 2004, FDA approved Actelion Pharmaceuticals's (Allschwil, Switzerland) "Ventavis" iloprost inhalation solution. In Nov. 2007, United Therapeutics (Silver Spring, MD) announced positive results of its Phase III trial of "Viveta," an inhaled formulation of treprostinil that treats PH.
Drugs that treat tuberculosis (TB) cannot be given at high doses because high systemic exposure causes toxic side effects. But one can deliver these drugs directly to the lungs at much lower doses using an inhaler. This technique would have a better therapeutic effect than a pill or syringe would. It would also result in fewer toxic side effects. "Pulmonary delivery is a much better alternative than injection to treat local conditions," Simes says.
Researchers are developing inhalable vaccines against TB, remarks Dalby. In 2007, the Harvard University Gazette reported that a Harvard research team developed a spray-drying method to preserve and deliver the Bacillus Calmette-Guérin (BCG) TB vaccine. This spray-drying technique could lead to aerosol delivery of BCG.
Sievers observes that some therapies such as small interfering RNA (siRNA) drugs are only effective if they can be delivered into cells at the site of infection. Recent evidence suggests that "the administration of siRNAs in aerosol form works for certain applications where injections were less effective," he says. Pharmaceutical companies "are bound to be looking at siRNAs because they're such a wonderful strategy." siRNAs could be used to treat respiratory syncytial virus (RSV) infection and diseases such as cancer.
Alnylam (Cambridge, MA) is developing ALN-RSV01, a siRNA, for the treatment of RSV. In Jan. 2008, the company announced study results showing that ALN-RSV01 was safe, well tolerated, and demonstrated statistically significant antiviral activity. Alnylam will use its "Direct RNAi" approach to deliver the drug directly to the lungs to neutralize the virus.
Formulating drugs for pulmonary administration presents challenges, however. Although scientists know the lung absorbs biologic drugs that have a wide range of molecular weights, lipophilicities, and polarities, "our ability to predict the mechanism, rate, and extent of absorption is at an early stage," Dalby cautions.
Delivering inhaled formulations to the lung may cause local toxic effects such as edema, cell injury, or altered tissue defenses. Propellents, preservatives, or carriers such as sulfites may also harm the body.
Patton acknowledges that safety is always a concern for any new form of drug delivery, but he argues that it can be managed. "The lung has a great capacity for handling foreign material," he says. Delivering grams of drug would be unwise, Patton admits, but "for most biologicals and other drugs, that's usually not a problem" because they would be given in microgram to low milligram doses."
Respiratory delivery moves beyond the lung
Success in treating respiratory diseases with inhaled formulations inspired research into expanding respiratory delivery to treat systemic diseases. "All the scientific evidence to date indicates that the systemic bioavailability via the respiratory route is vastly higher than noninvasive or nondisruptive percutaneous absorption," according to Igor Gonda, CEO of Aradigm (Hayward, CA).
Simes agrees. "If the drug is safe and can escape the lungs' natural clearance mechanisms until their therapeutic payload has been delivered, it can achieve equivalent or higher bioavailability than pecutaneous injection." Respiratory delivery is "particularly useful for the delivery of drugs to distant target organs through the circulatory system," Simes adds.
"The idea of systemic delivery of biomolecules and the development of a sophisticated, highly reproducible inhalation device and formulation to administer them were and remain innovative," according to Dalby.
Future inhalable treatments
As companies continue their pursuit of inhalable treatments for diabetes and respiratory diseases, researchers investigate other diseases that could potentially be managed through respiratory drug delivery. BioSante believes drugs that could be delivered through the lungs include the protein human Factor IX for hemophilia and Interferon alpha-2b for chronic hepatitis B.
A 2007 study shows that inhaled drug delivery can effectively combat measles, Sievers says. Dilraj and his colleagues demonstrated that children revaccinated with Edmonston–Zagreb wet-mist aerosol had a stronger and longer-lasting antibody response six years later than those revaccinated subcutaneously (2). Wet-aerosol vaccination, Sievers observes, could thus provide durable protection against this disease.
The World Health Organization and the Serum Institute of India are directing Phase I clinical studies with a wet-mist aerosol measles vaccine in India.
Sievers adds that DelSite (Irving, TX) recently developed a flu vaccine in gel form for intranasal delivery. "If you ship a powder around the world and store it, you have to ship high-purity water for injection along to reconstitute it," he explains. Although powders and liquid suspensions are susceptible to contamination and decomposition, dry powders are generally more stable than liquid suspensions. DelSite's formulation is "easier to store and less susceptible to bacterial contamination than a liquid suspension would be," he says.
Conclusion
Despite the problems that Exubera and AERx encountered, scientists and pharmaceutical companies confirm that the respiratory delivery of insulin and other biologicals remains a practical and worthy goal. Dalby agrees but cautions that some obstacles remain. Bringing new inhaled therapies to market requires the "re-emergence of financiers, bitten once by problems with insulin," who are undaunted by long development cycles and regulatory uncertainties, he says. The market must also be "willing and able to pay for the eventual product," Dalby adds.
Sievers is optimistic about the prospects for future inhaled therapies. When doctors do not have "an existing, well established protocol and treatment" for a disease, he says, an inhaled formulation will be successful. "Pick a new drug or pick a disease that we haven't licked yet, and you've got a winner," he concludes.
References
1. B. Frederiksen et al., "Effect of Aerosolized rhDNase (Pulmozyme) on Pulmonary Colonization in Patients with Cystic Fibrosis," Acta Paed. 95 (9), 1070–1074 (2006).
2.A. Dilraj et al., "Aerosol and Subcutaneous Measles Vaccine: Measles Antibody Responses 6 Years After Re-Vaccination," Vaccine 25 (21), 4170–4174 (2007).
For more on this topic, see the online exclusive "Journey to the Center of the Lung"
Get the essential updates shaping the future of pharma manufacturing and compliance—subscribe today to Pharmaceutical Technology and never miss a breakthrough.