News
Article
Pharmaceutical Technology
The author reviews advances in technology that may soon allow transdermal delivery of two of the fastest growing drug classes on the pharmaceutical market. This article is part of a special Drug Delivery issue.
This article is part of a special issue on Drug Delivery
The benefits and drawbacks associated with traditional transdermal delivery are well known. Transdermal delivery is popular with patients; it is comfortable, convenient to use and non-intimidating. Unfortunately, passive transdermal patches are compatible with a relatively small number of drugs, all of which are small molecules and of low water solubility. Recent advances in the development of new transdermal delivery options seek to maintain the features of transdermal delivery that patients appreciate while increasing the number of compounds that can be delivered. Two of the fastest growing segments of the pharmaceutical market, vaccines and therapeutic proteins, have been targeted for transdermal delivery, and there may be therapeutic advantages associated with the transdermal delivery route for both.
Structurally and physiologically, the skin is an important part of the immune system, providing front-line defense against various environmental assaults. In particular, mammalian skin is a dynamic barrier that exists in a variety of densities, textures, and layers to negotiate external stimuli. The uppermost layer of the skin, the epidermis, is capped by the stratum corneum, a layer of flat, plate-like cells known as keratinocytes. These cells prevent dehydration and provide a physical and chemical barrier to the outside world, protecting underlying tissues from particulates, bacteria, and viruses. Overcoming the barrier properties of the stratum corneum has, historically, provided one of the most significant challenges to transdermal delivery of water-soluble compounds such as proteins, peptides, and vaccines. The epidermis, which lacks a microcirculatory structure, varies in thickness from approximately 20–100 µm (1–3).
The dermis, which lies beneath the epidermis, is sometimes characterized as having an upper section (the papillary dermis) and a lower section (the reticular dermis); altogether, the dermis is about 1.5–3 mm thick (1, 4). The dermis contains a network of collagen fibers as well as an upper and lower plexus of both blood vessels and lymph vessels. The dermis, in general, and the upper portion of the dermis, in particular, has the highest density of lymphatic capillaries in the body (3, 5–7). The dermis is the major site of fluid exchange between the blood, lymphatic capillaries and interstitial fluid (2).
Transdermal delivery of vaccines
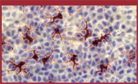
Within the epidermis and the dermis, the skin provides immunological protection to the body. The skin houses specialized cells in both the epidermis (Langerhans Cells, LC) and the dermis (dermal dendritic cells, dDC) (8, 9); these cells are an important component of the immune system and are not found anywhere else in the body. Collectively, these specialized cells act as sentinels, probing their surroundings for signs of immunological threats. They are able to process microbial antigens and ultimately migrate into lymphatic capillaries to lymph nodes initiating an immune response that may be both faster and stronger than that generated in response to the same amount of antigen administered via intramuscular injection. Although LCs account for only 2% of cells in the epidermis, they are relatively large, and their long dendrites stretch across the epidermis to form a tight network that effectively captures particulate- or macromolecule-challengers (see Figure 1).

Figure 1: Human epidermal Langerhans cells (stained red) are randomly distributed in the epidermis. Their long dendrites ensure detection of foreign invaders. (FIGURE 1 IS REPRINTED BY PERMISSION FROM NICOLAS AND GUY (REF. 2))
Dermal dendritic cells play a similar role in the dermis. Upon capture of antigen, both the LCs and the dDCs are directed to the secondary lymph nodes via draining lymphatic capillaries to initiate an immune response (5). An excellent review on the mechanism of intradermal immunization is reported by Nicolas and Guy (2).
The potential for leveraging this specialized system to achieve an enhanced immune response via intradermal vaccine delivery has been recognized for decades. In a 1932 publication, Tuft et al. described a human clinical trial that demonstrated the potential of intradermal delivery to provide an enhanced antibody response to typhoid vaccine. The trial showed that an antibody response, on par with those measured following intramuscular (IM) or subcutaneous (SC) delivery, required only one-seventh as much antigen when delivered intradermally (10).
Since that time, many others have explored and developed the potential benefits associated with intradermal delivery of vaccines. Of particular interest is a 2004 study where researchers studied the efficacy of influenza vaccine administered intradermally. Results showed that an immune response equivalent with or superior to that observed for IM administration can be achieved with intradermal delivery using just one-fifth the amount of vaccine (11). This dose-sparing potential is particularly appealing to the World Health Organization (WHO) and vaccine manufacturers as governments contemplate how to handle perpetual vaccine shortages and to provide adequate civilian protection against a pandemic flu (8).
A 2009 report published by WHO provides a summary of human intradermal vaccination trials that have been conducted (8). Results are categorized by data that demonstrate intradermal delivery studies providing dose superiority, dose equivalence, or dose inferiority when compared with conventional administration routes. A summary of key clinical trials is also provided elsewhere (2).
A graphical example of the dose-sparing potential associated with intradermal vaccine delivery is provided below. Figure 2 shows the results of a prime/boost immunogenicity study conducted in hairless guinea pigs (HGPs). Hepatitis B surface antigen (HBsAg) was coated onto the tips of 1300 polymeric microneedles contained on a patch approximately 1 cm in diameter and inserted approximately 150 µm into the skin so as to deliver the vaccine to the epidermis and upper dermis. The microneedle patches were held in place with an adhesive ring for 15 min. before being removed. Anti-HBsAg titers were determined at 4 weeks (boost), 8 weeks (boost), and 12 weeks after primary immunization. An equal amount of antigen was delivered to a second group of HGPs via IM injection, who were dosed following the same schedule (12).

Figure 2: Comparison of Anti-HBs Ag Titer following intramuscular or intradermal administration of comparable doses in hairless guinea pigs. GMT is group mean titer.
Devices and components designed to help make ID delivery of vaccines a reality are an exciting continuation of the potential posited by Tuft in the early 1930s.
Transdermal delivery of therapeutic proteins
Of more recent interest is the use of the intradermal route for systemic delivery of protein- and peptide-based drugs. With few exceptions, biopharmaceuticals are currently compatible only with injection-based delivery systems including intravenous (IV), IM, and SC injections. Less-invasive delivery methods such as oral administration of biopharmaceuticals, have been challenged by the hydrolytic nature of the gastric environment. Delivery via inhalation routes has been elusive because of concerns of poor reproducibility, losses in bioavailability, and the risk of potential health problems associated with long-term administration regiments (13, 14).
In an effort to improve therapeutic efficacy, as well as to provide a more satisfactory patient experience (hopefully leading to improved compliance), several transdermal delivery platforms for biopharmaceuticals have been pioneered. As with vaccine delivery, there are elements unique to the dermis that warrant consideration when considering systemic drug delivery of proteins and peptides.
As mentioned above, the dermis is highly perfused with both blood and lymphatic capillaries. The lymphatic system is not nearly as well characterized or as well understood as the microstructure associated with the circulatory system, but it plays a key role in maintenance and function of the skin and for ID delivery. Lymphatic systems—or lymphatics—are common to higher-order vertebrates of a size and complexity that require a secondary vascular system to maintain fluid balance. Lymphatics regulate interstitial fluid pressure; they are also an important conduit of the immune system, trafficking antigen presenting cells to the lymph nodes as well as providing a corridor for the migration of T- and B-cells (3, 7, 15–6).
The distal capillaries are the smallest features of the lymphatic system and stretch into the upper layers of the dermis. Structurally, the distal capillaries are arranged vertically within the upper dermis and drain unidirectionally toward collection vessels in the lower dermis. The distal capillaries are 10–70 µm in diameter and have thin walls made up of a single nonfenestrated membrane of endothelial cells; adjacent cells often overlap. Figure 3 shows the distribution of lymphatic capillaries in the dermis.

Figure 3: Cross-section schematic depicting epidermis (red), dermis (pink), subcutaneous adipose (yellow), and intramuscular tissues (tan) with lymphatic capillaries shown in green (first panel), blood capillaries shown in red and blue (second panel), and the two systems overlaid (third panel). In the upper dermis, the capillaries extend normal to the surface of the skin; in the lower dermis, subcutaneous and intramuscular tissue, the capillaries are shown in cross section, running parallel to the skin's surface. (FIGURE 3 IS ADAPTED FROM HANSEN ET AL. (REF 58).; FIGURE 3 IS BY P. BOHACEK/COURTESY OF AUTHOR)
In lymphatic capillaries, segments of the overlapping endothelial cells are tethered to collagen fibers by anchoring filaments that prevent the thin walls of the capillaries from collapsing. These spring-like filaments allow the capillaries to go from a state of near collapse to one of stretched expansion in response to increases in interstitial fluid pressures. The combination of the anchoring filaments and the overlapping arrangement of the endothelial cells create flap valves along the capillaries, which readily open to accept interstitial fluid, macromolecules, and particulates in response to local pressure changes (17–19). This mechanism is illustrated in Figure 4.

Figure 4: Representation of the transport mechanisms for proteins and particulates (green dots) into lymphatic capillaries. Small red arrows indicate a minor intracellular transport route; bold red arrows indicate the dominant intercellular transport route, wherein increases in interstitial pressure force open untethered flap valves between overlapping endothelial cells. The pink shapes represent anchoring filaments.
Tracer studies conducted in guinea pigs and mice indicate that this intercellular transport mechanism is the main mechanism whereby proteins and particulates are cleared from the interstitial space (5, 18–19).
Larger collecting lymphatic vessels, situated horizontally, reside in the lower dermis (5, 17). The walls of the collection vessels are thicker than the capillaries. These vessels contain valves to prevent the backflow of lymph (3, 17, 19). Unlike the distal capillaries, the walls of the collecting lymph vessels include a thin layer of smooth muscles that propel the lymph through the vessels to the local lymph nodes for filtration and, ultimately, to the main lymphatic ducts for entry into the systemic circulation.
In the dermis, the blood capillaries are situated similarly to the lymphatic capillaries, however, there are significant structural differences between the two. Instead of the blind ends characteristic of lymphatic capillaries, the blood capillaries in the upper dermis are arranged in vertical loops that carry blood both to and from the upper regions of the dermis. The cell walls of blood capillaries are thicker than those on the lymphatic capillaries and are characterized by a continuous basement membrane. The membrane is permeable to fluid exchange and allows for transport from the interstitial fluid of some small, lipophilic molecules; however, the membrane is continuous (with no flap valves) and is restrictive to the transfer of macromolecules or particulates. Finally, fluid movement within the capillaries is powered by the continuous beating of the heart; lymphatic fluid movement is governed by a variety of internal and external factors.
It is widely acknowledged that proteins larger than 16 kD are generally cleared from the interstitium via the lymphatics (20–22). The clearance is facilitated by the flap valves and lymphatic fluid flow that is driven by differences in interstitial pressure. Efforts to create macromolecular pro-drugs by tethering a small molecule to a macromolecular carrier, or with liposomal encapsulation systems, are aimed at increasing the size of the drug-carrier system and thus, increase uptake by the lymphatics (22–25).
In 1990, Supersaxo et al. used a sheep model to demonstrate a correlation between molecular weight and lymphatic uptake for molecules injected subcutaneously. This group proposed that molecules larger than 16 kD are primarily absorbed by the lymphatics (20, 26). Figure 5 shows this relationship.

Figure 5: Experimental data demonstrating the dependence of lymphatic uptake on molecular weight. FUdR is Floxuridine; IFN-alpha-2a is interferon-alpha-2; and hGH is human growth hormone. (FIGURE 5 IS REPRINTED WITH PERMISSION FROM JOHN WILEY & SONS (REF. 20).)
Figure 6 shows the results of a study conducted by Skobe et al., where a high molecular weight FITC-dextran was injected intradermally into mouse skin. Lymphatic vessels (indicated by the white arrow) take up the high molecular weight, fluorescently-labeled molecules, while a nearby blood vessel (white arrowhead) has not.

Figure 6: Enhanced lymphatic uptake of intradermally delivered fluorescently-labeled macromolecule. Arrow shows uptake in lymphatic capillary; arrowhead indicates nearby blood vessel. (FIGURE 6 IS REPRINTED WITH PERMISSION FROM MACMILLAN PUBLISHERS (REF. 5).)
In a 2010 imaging study, Harvey et al. demonstrated fast lymphatic uptake upon intradermal administration. Within 20 s of intradermal injection, a low molecular weight fluorescent dye illuminated a lymph node 40 cm from the injection site. A similar injection into the subcutaneous tissue stayed localized with no visual evidence of lymphatic uptake during the observation period associated with the study (27).
Given the increased density of lymphatic capillaries in the dermis, along with the increased interstitial pressure associated with intradermal delivery, it may be that the uptake of biopharmaceuticals is further favored by the lymphatics upon intradermal delivery.
Enhanced lymphatic uptake in the dermis may be further evidenced in comparative pharmacokinetic studies conducted between intradermal and SC or IM delivery. Several groups have reported intradermal pharmacokinetic (PK) profiles in which drug in the plasma reach maximal levels (Tmax) earlier following ID than IM or SC delivery. Maximal drug concentrations in plasma (Cmax) are also higher following ID delivery, and in some cases, bioavailability is also higher than when the same amount of protein is injected into deeper tissue (as is the case with both IM and SC delivery methods) (27–29). These PK characteristics are consistent with more pronounced lymphatic uptake and are evident even for biopharmaceuticals such as insulin and parathyroid hormone 1-34 (PTH) that are well below the 16 kD equilibrium proposed for lymphatic absorption following subcutaneous uptake.
Enhanced lymphatic uptake via intradermal delivery may offer therapeutic advantages over conventional injection routes. A PK profile that achieves a higher, sharper Cmax for delivery of compounds, including hormones, such as PTH and human growth hormone (hGH) may more closely mimic endogenous secretions in healthy subjects (30, 31). Faster delivery for compounds such as insulin may provide the opportunity for more responsive therapeutic interventions for diabetics, with short- and long-term benefits to patient health. Analogous to the dose-sparing potential for intradermally delivered vaccines, biopharmaceuticals may also be more rapidly and completely taken up into the lymphatic system. Intradermal delivery may therefore offer higher therapeutic efficiency for exceptionally large biopharmaceuticals than can SC or IM delivery. These large molecules are often difficult and costly to manufacture, so there may exist a considerable cost advantage to administering a reduced dose intradermally and that still achieves the same therapeutic endpoints associated with a higher dose delivered via subcutaneous injection. Lymphatic delivery has long been the focus of targeted delivery efforts for tumor therapies associated with various cancers, as regional lymph-node dissemination is the first step in the metastasis of several cancers (32, 33). Furthermore there exists the possibility of minimiziing toxic side effects associated with systemic delivery of chemotherapies targeted at the lymphatics if a smaller dose could be administered intradermally for preferential uptake into the lymphatic system. Currently, IV administration of these drugs results in widespread systemic dispersion with only minimal quantities of drugs reaching the lymph nodes (34).
In part because of advances in intradermal drug delivery technologies, the potential therapeutic benefits associated with intradermal delivery are just starting to be realized. The remainder of this article will describe some of the main intradermal delivery techniques and devices. Power- and jet-injectors and iontophoretic devices will not be discussed; these technologies are reviewed elsewhere (35).
Devices to enable transdermal delivery of vaccines and biopharmaceuticals
Abrasion and microporation + patch technologies. Several transdermal or intradermal delivery devices have been developed in an effort to access the unique delivery characteristics associated with the skin. Most of these devices are built primarily around a mechanism for mechanically disrupting the barrier properties of the stratum corneum. Transdermal delivery of vaccines has been demonstrated via a simple device that uses mild abrasion to disrupt the stratum corneum. Following pretreatment with an abrasive strip, a patch containing a vaccine or a vaccine adjuvant is applied over the treatment site (36, 37). The utility of this technology has been demonstrated clinically for the delivery of a traveler's diarrhea vaccine (37) and a heat-labile enterotoxin that act as antigen and adjuvant, respectively (36).
Other technologies take a slightly more ordered approach to disrupting the stratum corneum. There are several microporation technologies that place discreet holes into the skin applying a drug-delivery patch. These technologies may use thermal energy (38), radiofrequency (39), or mechanical disruption with microprojections (40, 41) to create channels in the stratum corneum. Figure 7 shows a histological cross section of guinea pig skin following application of microprojections designed to breach the stratum corneum.

Figure 7: Cross-sectional view of hairless guinea pig skin (stratum corneum, pale pink), epidermis (purple), and dermis (dark pink) following application of polymeric microprojections. (FIGURE 7 IS BY J. GYSBERS/D. BRANDWEIN/COURTESY AUTHOR)
When followed by application of a transdermal patch, the microporation technologies facilitate enhanced delivery of hydrophilic drugs and peptides such as vaccines, interferons, insulin, growth hormone, and parathyroid hormone (38–44).
Coated microneedle technologies.There are several technologies in development built around the concept of coating a vaccine or a drug onto solid microneedles. Upon insertion, the drug is released from the microneedle into the epidermis or dermis. A Phase II clinical study has been completed with a solid microneedle device coated with PTH. A dose of 20–60µg of drug was coated onto the arrow-shaped blades, each of which was 190 µm long (45). The device was worn by the patient for 30 min. Over the course of the 6 months study, patch application was well-tolerated, and the resulting pharmacodynamic profile compared favorably with that achieved following SC injection of the same drug (46).
Other coated microneedle technologies have been used to deliver vaccines, vaccine adjuvants, small molecules, peptides, and proteins (47–50). Generally, coating capacity is limited to a few hundred micrograms, so coated microneedle technologies are targeted for the delivery of potent drugs or vaccines. Release of drugs from the microneedles into the epidermis/dermis can be highly efficient and very fast. Figure 8 shows a release profile for the delivery of 18 µg of ovalbumin applied via a solid microneedle array in swine where complete delivery (95% of the coated protein) is achieved in thirty seconds (12).

Figure 8: Release profile for ovalbumin (ova) coated on solid microneedles from Hansen et al. (Ref. 58).
Hollow micro- or minineedle technologies.Technologies that facilitate drug delivery using hollow micro (< 1mm) or mini (> 1mm, < 2mm) needles are becoming more common. A microinjection system designed around a 1.5mm short-bevel minineedle (51) was used to deliver 100µL of inactivated influenza vaccine to healthy adults in two separate studies. The vaccine administration was both well-tolerated (52) and demonstrated dose-sparing performance. Nine micrograms of antigen administered intradermally had comparable immunogenicity to 15 µg administered by a traditional IM injection (53).
A hollow microneedle delivery device has been used to deliver 100–200 µL of influenza vaccine into the intradermal space. Immunogenicity was evaluated relative to subjects receiving a 500 µL IM injection of the same vaccine. The microneedle-based delivery system compared favorably with the IM injection despite the reduction in delivered antigen dose (54).
Systemic delivery of APIs has also been accomplished using hollow microneedle systems, though human data collected with these systems is not nearly as prevalent as for vaccine delivery. Using a minineedle-based experimental system powered by a syringe pump, intradermal delivery of up to 250 µL of various API formulations has been tracked via PK profiles in swine (27). In addition to demonstrating the viability of ID delivery for therapeutic proteins, this work has done much to demonstrate the role of lymphatic uptake in ID delivery.
Another study using a minineedle-based experimental system found that patients exhibited excellent glycemic control for diabetes and reported a favorable patient experience when needles were inserted 1mm into the skin (using rotary drilling device) for insulin delivery (28). Diabetic subjects received up to 300 µL of a 50 U insulin solution (50 U/mL). Although a small study, the work clearly demonstrates the utility of microneedles and the compatibility of the dermis for delivery of biopharmaceuticals. Further emphasizing this potential, an integrated hollow microneedle patch and delivery system for insulin has been developed and characterized in vivo (55).
A hollow microneedle device designed for higher volume delivery (1-2 mL) has been developed and tested in preclinical studies. A microneedle array consisting of 18 hollow microneedles is inserted into the skin, and liquid formulations are delivered into the intradermal space via a mechanical spring. Figure 9 shows a picture of the hollow microneedle array.

Figure 9: Polymeric hollow microneedle. (FIGURE 9 IS BY R. KRIENKE/COURTESY OF AUTHOR)
The system is designed for self-application and can be worn by the patient during delivery (56, 57). Despite the high delivery volume, delivery of placebo formulations into humans does not cause discomfort (58).
Conclusion
Delivery to the skin, a specialized organ long targeted for delivery of vaccines, is blossoming into a new frontier for expanded application for vaccine delivery and for delivery of biotherapeutics. An increased understanding of the potential advantages associated with ID delivery and a growing number of components and devices with demonstrated utility around meeting the delivery challenges for these large classes of drugs have fueled interest in broader commercial application of ID delivery techniques. The ID devices discussed here have the potential to provide the comfort and convenience that meet the emotional needs of patients along with the delivery performance that address more fundamental therapeutic needs for many biotherapeutics.
Kris J. Hansen, PhD, is the MTS Technology and Product Development Manager at 3M Drug Delivery Systems, 3M Center, Bldg 260-3A-05, St. Paul, MN 55144, tel. 651.733.-2062, fax 651.733.3512, kjhansen@mmm.com.
References
1. E. N. Marieb and K. Hoehn, Human Anatomy & Physiology, (Benjamin Cummings, San Francisco, CA, 8th ed., 2010).
2. J. Nicolas and B. Guy, Expert Reviews Vaccine 7 (8), 1201–1214 (2008).
3. I. M. Braverman, JID Symposium Proceedings 5 (1), 3–9 (2000).
4. A. Laurent et al., Vaccine 25, 6423–6430 (2007).
5. M. Skobe and M. Detmar, JID Symposium Proceedings 5 (1), 14–19 (2000).
6. P. S. Mortimer et al., Jrnl. of Invest. Derm. 95 (6), 677–682 (1990).
7. D. Lubach, W. Ludemann, and D. Berens Von Rautenfeld, Br. J. Dermatol. 135 (5), 733–737 (1996).
8. J. Hickling and R. Jones, WHO PATH, 1–17 (Aug. 27, 2009).
9. G. Rozis et al., Immunology 124, 329–338 (2008).
10. L. Tuft, E.M. Yagle, and S. Rogers, Laboratories of the Graduate Hospital, University of Pennsylvania and the Research Institute of Cutaneous Medicine, pp. 99–110 (Apr. 20, 1931)
11. R. T. Kenney et al., The New Engl. Jrnl. of Med. 351 (22), 2295–2301 (2004).
12. K. J. Hansen and M. A, Tomai, "Highly Efficient Transdermal Delivery of Vaccines," presented at Modern Vaccine Adjuvants and Delivery Systems, Vienna, Austria, 2009.
13 S. K. Garg et al., Diabetes Technol. & Therapeut. 11, S5–S16, (2009)
14. S.A. Shoyele, and A. Slowey, Intern. Jrnl. of Pharmaceut. 314, 1–8, (2006)
15. K. Alitalo, T. Tammela, and T. V. Petrova, Nature 438 (15), 946–953 (2005).
16. M. S. Pepper and M. Skobe, Jrnl. of Cell Biol. 163 (2), 209–213 (2003).
17. W. N. Charman, V. J. Stella, Lymphatic Transport of Drugs, (CRS Press Inc, Boca Raton, FL, 1992)
18. L. V. Leak, Jrnl. of Cell Biol. 50, 300–323 (1971).
19. L.V. Leak and J. F. Burke, Am. J. Anat. 118, 785–810 (1966).
20. C. J. H. Porter and S. A. Charman, Jrnl. of Pharmaceut. Sci. 89 (3), 297–310 (2000).
21. A. Supersaxo et al., Pharm. Res. 5 (8), 472–476 (1988).
22. W. Morozowich et al., Proceed. Intern. Symp. Control. Rep. Bioact. Mater. 17, 185–186 (1990).
23. S. Mutanishi, T. Fujita, M. Mruakami, and A. Yamamoto, Jrnl. of Contr. Rel. 46, 157–164 (1997).
24. V. I. Kaledin et al., JNCI 66 (5), 881–887 (1981).
25. C. Oussoren and G. Storm, Adv. Drug Deliv. Rev. 50, 143–156 (2001).
26. A. Supersaxo, W. R. Hein, and H. Steffen, Pharm. Res. 7 (2), 167–169 (1990).
27.. A. J. Harvey et al., Pharm. Res. (2010), www.springerlink.com/content/j227p875h614x3w4/, accessed Oct. 13, 2010.
28 J. Gupta, E. I. Felner, and M. R. Prausnitz, Diabetes Technol. Ther. 11 (6), 329–337 (2009).
29. F. Cosman et al., J. Clin. Endocrinol. Metab., 95, 151–158, (2010).
30. C. A. Frolik et al., Bone 33, 372–379 (2003).
31. L. A. Denson, Expert Opin. Drug Metab. Toxicol. 4 (12), 1569–1580 (2008).
32. T. Karpanen, and K. Alitalo, Journal of Experimental Medicine 194(6), F37–F42 (2001).
33. Y. Xie, T. R. Bagby, M. S. Cohen, and M. L. Forest, Expert Opinion on Drug Delivery 6(8), 785–792 (2009).
34. L. T. Kuhn, P. L. Pieto, and B. Wen, Cancer Research 69, 2135 (2009).
35. A. Arora, M. R. Prausnitz, and S. Mitagotri, Intern. Jrnl. of Pharmaceut. 364, 227–236 (2008)
36. S. A. Frech et al., The Lancet 341, 2019–2025 (2008).
37. G. M. Glenn et al., Vaccines 6 (5), 809–819 (2007).
38. S. Garg et al., Clin. Vaccine Immunol. 14( 7), 926-928 (2007).
39. A. C. Sintov et al., Jrnl. Control. Rel. 89 (2), 311–320 (2003).
40. M. M. Badran, J. Kuntsche, and A. Fahr, Eur. J. Pharm. Sci. 36 (4–5), 511–523 (2009).
41. K. J. Hansen et al., "Transdermal Delivery of Vaccines and Proteins using a Hand-Applied, Polymeric Microstructured Array," presented at the Controlled Release Society, Portland, OR, July 12, 2010.
42. A. V. Badkar et al., Pharm. Res. 24 (7), 1389–1395 (2007).
43. M. Pearton et al., Pharm. Res. 25 (2), 407–416 (2007).
44. G. Levin et al., Pharm. Res. 22 (4), 550–555 (2005).
45. M. Ameri, S. C. Fan, and Y. F. Maa, Pharm. Res. 27 (2), 303–313 (2010).
46. F. Cosman et al., Jrnl. Clin. Endocrinol. Metab. 95 (1), 151–158 (2010).
47. A. K. Andrianov et al., Proc. Natl. Acad. Sci. 106 (45), 18936–18941 (2009).
48. Q. Zhu et al., Proc. Natl. Acad. Sci. 106 (19), 7968–7973 (2009).
49. K. J. Hansen and B. Haldin, Drug Deliv. Technol. 8 (8), 38–42 (2008).
50 H. S. Gill, and M. R. Prausnitz, Jrnl. Control. Rel. 117 (2), 227–237 (2007).
51 P. E. Laurent et al., Vaccine 25 (52), 8833–8842 (2007).
52… I. Leroux-Roels et al., Vaccine 26 (51), 6614–6619 (2008).
53. J. Beran et al., BMC Med.7 (13), (2009).
54. P. Van Damme et al., Vaccine 27 (3), 454–459 (2009).
55. N. Roxhed et al., IEEE Trans. Biomed. Eng. 55 (3), 1063–1071 (2008).
56. S. A. Burton et al., Pharm. Res. (July 2010), www.springerlink.com/content/v33v3x4850877668/, accessed Oct. 13, 2010.
57. K. J. Hansen, S. A. Burton, and M. A. Tomai, Drug Deliv. Technol. 55 (8), 38–44 (2009).
58. K. J. Hansen, S. A. Burton, and T. A. Peterson, "Transdermal Delivery of Large Molecules through an Integrated Hollow Microneedle Device," presented at the Controlled release Society, Copenhagen, Denmark, July 2009.

Get the essential updates shaping the future of pharma manufacturing and compliance—subscribe today to Pharmaceutical Technology and never miss a breakthrough.