
Pharmaceutical Technology Europe
Detection and identification of different polymorphic forms is, therefore, important throughout the drug development and manufacturing process.

Pharmaceutical Technology Europe
Detection and identification of different polymorphic forms is, therefore, important throughout the drug development and manufacturing process.

Pharmaceutical Technology Europe
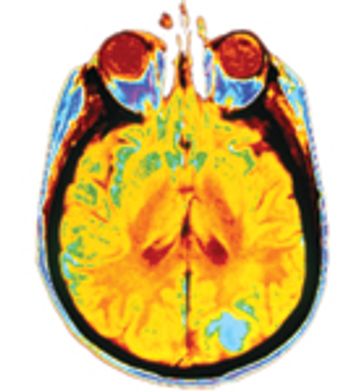
A new technology from Synt:em has demonstrated, for the first time, its ability to transport a drug across the human blood brain barrier (BBB).

Pharmaceutical Technology Europe
HR-US is a nondestructive technique with enormous potential for the analysis of materials and formulations used in the pharmaceutical industry.

Pharmaceutical Technology Europe
Possible cross-contamination issues should be eliminated at the early stage of the project. The project sponsor should ensure that all relevant personnel from the production, quality control, logistics, and maintenance departments, as well as engineering, are involved in the conceptual stages of a design.

Pharmaceutical Technology Europe
This high quality of pellet roundness is surprising in view of the high extrusion forces required to extrude the wet masses.