
- Pharmaceutical Technology-09-02-2019
- Volume 43
- Issue 9
Stability Indicating Methods for Aluminum Adsorbed Vaccine Products
The authors provide an introduction to aluminum adsorbed vaccines, review studies of antigen stability, and propose test methods for the analysis of aluminum vaccine release and stability analysis.
Aluminum compounds have been used as adjuvants in human vaccines for more than 75 years (1), and they are the most widely used adjuvants in both human and veterinary vaccines. Billions of doses of aluminum salts containing vaccines have been administered safely to a diverse population of patients globally (2). Despite their widespread usage, there is little regulatory guidance or published literature regarding release and stability testing of these products. Though there have been great gains in knowledge of therapeutic protein chemical and physical stability, there are few published examples of the applications of bioanalytical stability methods applied to protein once adsorbed on to the aluminum adjuvant. This article provides an introduction to aluminum adsorbed vaccines, reviews studies of antigen stability, and proposes a panel of test methods for the analysis of aluminum vaccine release and stability analysis.
Aluminum adsorbed vaccines
Early vaccines were prepared as alum precipitates, which could be heterogeneous. Preformed gels of aluminum hydroxide and, later, aluminum phosphate replaced alum precipitation and have resulted in standardized formulations of aluminum-adsorbed vaccines. Aluminum-based adjuvants continue to be used in new vaccine preparations as recombinantly expressed protein antigens are identified, which can serve as safer replacements for inactivated or attenuated pathogens. Additionally, vaccines containing combination adjuvants linking aluminum with synthetic and natural ligands have been approved (2). The addition of adjuvants is often needed to induce a robust immune response and effective immunization to protein antigens, which may not possess strong immunogenicity. The physiological mode of action of aluminum adjuvants, however, is not completely understood (3). Potential mechanisms include that the aluminum forms a depot at the injection site from which the antigen is released slowly; that the particulate form of the adsorbed vaccine results in uptake by macrophages, neutrophils, and dendritic cells; and the immune system is stimulated directly. Additionally, it has been proposed that adsorption of the protein on the aluminum gel could result in structural destabilization increasing the protein’s immunogenicity (4).
There are two common aluminum salt preparations used in human vaccines: aluminum hydroxide (Alhydrogel) and aluminum phosphate (Adju-Phos). The pH at which the net surface charge of the aluminum adjuvant is zero is called the point of zero charge (PZC), which is similar to the isoelectric point (pI) of a protein. The adjuvant surface is positively charged when the solution pH is below the PZC and negatively charged when the solution pH is greater than the PZC (5). Aluminum hydroxide has a PZC of approximately 11 and aluminum phosphate has a PZC of 4–5.5 (4), though consideration should be given to the buffer used in vaccine formulation as substitution of ions at the surface may lower the PZC and impact the adsorption of the antigen (5). For many proteins, antigen adsorption is best in pH intervals between pI of the protein antigen and PZC of the aluminum adjuvant because it is in this pH range that the protein antigen and the adjuvant will have opposite electric charges (1). For this reason, lysozyme, which has a pI of 11.35, has been used as a model antigen in studies of aluminum phosphate. Bovine serum albumin (pI of 4.7) and ovalbumin (pI of 4.5) bind more efficiently to aluminum hydroxide (4). Generally, Alhydrogel has a higher adsorption capacity than Adju-Phos, and the adsorption capacity of Alhydrogel decreases as its particle size increases and as the molecular weight of the proteins increase (6).
The adsorption mechanism of proteins to aluminum adjuvants is not completely understood (6) and is likely a combination of physical phenomena including “electrostatic attraction, hydrogen bonding, apolar interactions, ligand exchange, and van der Waals’ forces” (4). Studies of model proteins found that electrostatic interactions were the major mechanism for adsorption of lysozyme, human growth hormone, diphtheria toxoid, a monoclonal antibody, and PEGylated growth hormone, but that for one protein, ovalbumin, adsorption involved ligand exchange (6). The predominant mechanism for adsorption of HBsAg by aluminum hydroxide was determined to be ligand exchange between the phospholipids in HBsAg and the surface hydroxyls in aluminum hydroxide adjuvant (7). HBsAG was found to bind more tightly to an aluminum hydroxyphosphate sulfate adjuvant when the concentration of phosphate buffer was increased (8). The correlation of strength of adsorption to vaccine effectiveness is related to the adsorption mechanism. Phosphorylated proteins adsorbed via ligand exchange have an inverse relationship between high adsorption strength and poor antigen presentation and immune response (9). Studies of a trivalent Pneumococcal protein vaccine demonstrated differences in immunogenicity resulting from selection of adjuvant impacted immunogenicity and found that lower microenvironment pH at the antigen surface and decreased strength of adsorption improved antigen stability (10).
Antigen stability following adsorption
A significant challenge in vaccine formulation development is the understanding of the antigen stability following adsorption. While aluminum-precipitated and aluminum-adsorbed vaccines have been in use for 75 years, it has only been in the past 15 years that studies investigating the impact of adsorption on protein structure and stability have been reported, presumably as new techniques developed to characterize recombinant proteins were applied to vaccine research. In a review of the subject, Clapp and colleagues describe how the environment of the protein at the adjuvant surface differs from that in solution, potentially driving structural change (11). Specifically, studies of the rate of acid-catalyzed hydrolysis of glucose-1-phosphate (G1P) adsorbed to aluminum hydroxide concluded that the pH of the microenvironment at the surface of the adjuvant was approximately two pH units higher than that of the bulk solution (12). Differences in polarity and charge density on the adjuvant surface may also result in structural changes in the bound protein (11).
Spectroscopic methods have been applied to the study of protein structural perturbations resulting from adsorption. Techniques have been well described in the literature and have included fluorescence spectroscopy (13), transmission Fourier-transform infrared (FTIR) spectroscopy (14), FTIR spectroscopy using an attenuated total reflectance (ATR) cell (13, 14, 15), and circular dichroism (CD) (15). Differential scanning calorimetry (DSC) has also been applied (13, 16). In studies of model vaccines, structural changes by FTIR–ATR, fluorescence spectroscopy techniques (13, 15), and DSC (13) were observed by following adsorption. Studies using transmission FTIR (14) concluded that no structural changes resulted from adsorption in studies of six model proteins. Overall, a review of studies indicates that variation in the buffer concentration, buffer pH, and properties of the antigen itself may influence the structure of the adsorbed protein antigen. In studies of a hepatitis B vaccine, the interaction between the antigen and aluminum hydroxide adjuvant was modified by optimizing the phosphate ion concentration and could possibly ensure that the native concentration of the antigen was maintained (17). While no structural information was presented, the authors concluded that a formulation containing 40 mM phosphate had improved thermal stability by in-vitro antigen reactivity. Additionally, FTIR–ATR studies determined that the structural changes were dependent on the amount of protein adsorbed, with more native protein observed in samples with maximum adsorption (17). The authors theorize that at lower adsorption concentrations, a monomolecular layer is formed in which the confirmation of the adsorbed protein is affected by the properties of the adjuvant surface and are more denatured. At higher adsorption levels, the protein is more weakly linked and may retain the native structure. While the focus of aluminum-absorbed vaccine characterization studies has protein antigen structure, questions remain about the applicability of studies to individual vaccine formulations and the impact that antigen structural perturbations may have on vaccine effectiveness and stability throughout the shelf life of the product.
Regulatory guidance for vaccine stability studies
There is little general guidance on release and stability test methods for aluminum adsorbed vaccines. The FDA document, Guidance for Industry, Content and Format of Chemistry, Manufacturing and Controls Information and Establishment Description Information for a Vaccine or Related Product (18), states that identity, purity, and potency should be included in drug product release specifications but does not provide specific test methods or guidance. United States Pharmacopeia (USP) Chapter <1235> Vaccines for Human Use–General Considerations (19) does not provide specific recommendations for release and stability tests beyond general requirements of testing for potency, general safety, sterility, purity, identity, and constituent materials. There was only one aluminum-adsorbed vaccine USP monograph available as an example (Anthrax Vaccine Adsorbed), but this was deleted as of August 2018 (20). The monograph includes tests performed on the sterile filtrate which does not include aluminum. Tests performed on the sterile filtrate include Identity by Western Blot, total protein by using a Bradford assay per USP <1057> (21), and 83kDa Protein using sodium dodecyl sulphate-polyacrylamide gel electrophoresis (SDS–PAGE). Finished product tests are in-vivo relative potency, concentration determination of aluminum by atomic absorption spectroscopy, safety, sterility, pH, sodium chloride by ion-selective probe, benzethonium chloride by titration, and a limit test for formaldehyde using UV-Vis spectroscopy.
While there is not specific guidance on the inclusion of test methods that are potency-indicating, there are parallels that can be drawn from International Council for Harmonization (ICH) Q5E Comparability of Biotechnological/Biological Products Subject to Changes in their manufacturing process (22). The guidance states that “the manufacturer should consider the limitations of biological assays, such as high variability, that might prevent detection of differences that occur as a result of a manufacturing process change.” However, it also states, “In cases where the biological assay also serves as a complement to physicochemical analysis (e.g., as a surrogate assay for higher order structure), the use of a relevant biological assay with appropriate precision and accuracy might provide a suitable approach to confirm that change in specific higher order structure has not occurred following manufacturing process changes.” While the intent of this analysis is to assess stability rather than manufacturing change, this guidance can be extrapolated to stability test methods. If potency methods lack sufficient accuracy and precision to detect small physical and chemical changes occurring during storage, additional methods may be required to provide early indication of loss of potency and expiry.
Stanley Hem advocated for the application of preformulation studies, common in the development of biopharmaceuticals, to aluminum adjuvant containing vaccines (23). In addition to characterizing the adjuvant and the free antigen, Hem recommends evaluation of the antigen-adjuvant formulation to understand strength of adsorption as well as the structural and chemical stability of the protein antigens.
Test methods
Ideally, test methods to provide stability data for adsorbed vaccine products would not require extensive sample preparation or desorption of the antigen from the adjuvant. There are a variety of different mechanisms suitable for desorption but all share disadvantages. The desorption procedure itself may result in structural changes or additional modifications or impurities in the protein antigen. For analysis in most test methods, desorbed samples will require a buffer exchange step, which will result in solutions with an unknown concentration, which must be determined using a separate assay prior to analysis by stability indicating methods. Lastly, desorption recovery may vary and recovery can decrease in aged samples (15, 24).
The measurement of unbound antigen by its definition is performed on finished drug product (FDP) without desorption. The intention of the test method is to measure the amount of free protein that was not adsorbed or has desorbed from the aluminum adjuvant. Samples are prepared by centrifugation, and the supernatant is removed for analysis. Typically, chromatography is utilized to quantify the amount of free protein in the sample against a standard curve of the same protein. Chromatographic methodologies vary and may include size-exclusion chromatography (SEC) (25) or reverse-phase high performance liquid chromatography (RP–HPLC). Typical methods can be based on those used for analysis of the antigen bulk drug substance (BDS), which are then optimized for sensitivity and validated using a low-level standard curve.
Some immunological test methods are feasible in the presence of Alhydrogel or aluminum phosphate and may be used for identification or, in some cases, quantitation without desorption. While Western Blots are not a practical alternative because SDS–PAGE cannot be performed on FDP, slot blots and dot blots eliminate the separation step. In a slot blot or dot blot method, the product is applied directly to a membrane and may be pulled through the membrane using a microfiltration apparatus and vacuum. Additional rinses may be performed as needed to ensure no surface residue remains on the membrane. Following application of samples, standards, and controls to the membrane, the membrane is removed from the apparatus and immunoblotted using standard procedures. Though no published procedures were identified describing the use of dot or slot blots for the analysis of aluminum adsorbed vaccines, the technique was used to quantitate the Hemagglutinin and Neuraminidases in influenza vaccine (26). An advantage of dot and slot blots is that multiple samples can be analyzed simultaneously, and membranes can be cut into strips for immunoblotting using multiple antibodies allowing for the identification of multiple antigens simultaneously. Zhu demonstrated the feasibility of a direct Alhydrogel formulation immunoassay (DAFIA) for the determination of antigen identity and content (27). In the method, the FDP is added to wells of a black multititer plate. Following centrifugation and washing, the wells are blocked, then probed with primary antibody followed by a secondary antibody tagged with fluorescein. Signal is read with a fluorometer at 485nm/535 nm.
Concentration measurement of the aluminum adjuvant can be determined directly, using inductively coupled plasma atomic emission spectroscopy (ICP–AES). Traditional methods for protein quantitation such as UV-Vis spectroscopy or RP–HPLC are not suitable for bound antigens. Method 6 of USP <1057> utilizing o-phthalaldehyde (OPA) (21) has been applied to Alhydrogel vaccines. The OPA reacts with N-terminal amine groups or the amine groups on the side-chains of lysine and results in a fluorescent signal at 340nm/455 nm. Protein concentration of the FDP is compared to a standard curve. The OPA method was applied to Malaria vaccine candidates containing Alhydrogel, and it was determined that for accurate results Alhydrogel must be included in standards at an equivalent concentration as samples (28). Accuracy was 87–100%, and linearity, though protein dependent, ranged from 25–400 µg/mL. In internal studies, the method had a range of 20–250 µg/mL using a non-linear curve fit and resulted in accuracy of 98–110% and repeatability of ≤2% for samples (see a representative standard curve in Figure 1).
HPLC is not suitable for the analysis of intact aluminum-adsorbed FDP because the vaccine molecules would be filtered by the column frit or, if they do pass into the column, would result in column clogging and increased back-pressure. RP–HPLC has been applied to concentration measurement, and to a limited extent, chemical stability of vaccines after desorption (10). While a desorption step is required to perform chromatographic analysis of the intact antigen, peptide mapping provides a powerful tool to verify the identity of FDP as well as evaluate the chemical stability of the antigen following adsorption and during stability. In peptide mapping, the protein is digested with an enzyme such as Lys C or Trypsin to produce a set of peptides. The resulting mixture of peptides can be separated chromatographically and compared visually to a control or the BDS or it can be analyzed by mass spectrometry and compared to the expected masses of peptides based on the primary sequence. The peptide mixture can also be analyzed without separation using matrix-assisted laser desorption mass-spectrometry with time-of-flight detection (MALDI–TOF). Lys C digestion of the desorbed antigens followed by MALD–TOF analysis of a trivalent botulinum vaccine containing Alhydrogel detected oxidation and deamidation reactions in all three protein antigens and reaction rates were accelerated in the presence of the adjuvant (29). Initially a 250 mM succinate buffer, pH 3.5 was utilized to desorb samples, but following incubation, desorption became more difficult, and use of a 4 M Urea pH 7.5 buffer was required. The desorption itself complicates the analysis because, first, it may not be completely reproducible, especially for aged samples, and, second, it may result in additional degradation. In unpublished studies, trypsin was used to successfully digest the antigen bound to Alhydrogel without desorption. Standard digestion procedures of incubation in Tris/HCL buffer, pH 8.0 for four hours at 37 °C were followed by RP–HPLC using an ACN/TFA mobile phase and C18 column. Visually, chromatograms (Figure 2) from digested FDP closely matched those of digested BDS, indicating the non-desorbed peptide mapping is a feasible method for the evaluation of antigen stability in FDP. With the increased availability of high mass accuracy/high resolution mass spectrometers, peptide mapping has evolved into multi-attribute methods (MAM), which can replace multiple electrophoretic and chromatographic stability indicating methods for therapeutic proteins (30). The application of MAM to aluminum-adsorbed vaccines has the opportunity to further understanding of protein-antigen stability and improve analysis to support quality by design (QbD) development as well as quality control (QC) release.
MAM has the potential to replace the electrophoretic and chromatographic stability indicating methods that all require desorption prior to analysis. Desorption methods range from the use of phosphate buffer pH 7.4 (25), phosphate buffer and Zwittergent (9), 250 mM succinate buffer pH 3.5 (29) to harsher conditions such as 20 mM sodium dodecyl sulfate (SDS) or 20 mM cetylpyridium chloride in citrate-phosphate buffer (31), and up to 4M Urea (29). Multiple investigators have noted that desorption is more challenging in aged samples (14, 24). Therefore, development of desorption procedures for stability indicating methods should be performed with aged samples when possible. The selection of desorption method will vary depending on the adjuvant used as well as the intended analysis method and compatibility with the desorption solution. For example, SDS would be a good choice for desorption buffer when preparing samples for methods utilizing SDS in the procedure, such as SDS–PAGE or CE-PAGE. Additionally, SDS does not significantly interfere with RP–HPLC procedures. Urea is often used in sample preparation for imaging capillary electrophoresis (ICE) procedures and is a preferred buffer for preparation of samples for charge separation methods such as ICE and ion-exchange chromatography (IEX). A standard protocol for desorption using SDS involved the following steps:
- Mix buffer, SDS, and vaccine FDP and incubate at 70 °C for 10 minutes.
- Centrifuge, remove supernatant, and determine protein concentration using RP–HPLC. Ensure that SDS concentration in the reference standard matches that in the samples.
- Concentrate using spin-filters and desalt with water wash. Utilize volume to determine approximate concentration prior to analysis.
- A standard protocol for urea desorption follows a similar procedure:
- Mix buffer, urea, and vaccine FDP and shake for 18 hours at refrigerated conditions.
- Centrifuge, remove supernatant, and determine protein concentration using RP–HPLC. Ensure that urea concentration in the reference standard matches that in the samples.
- Dialyze samples to reduce urea concentration.
- Repeat RP–HPLC analysis to determine concentration, concentrate using spin filters and desalt with water wash.
- Perform ICE or IEX analysis.
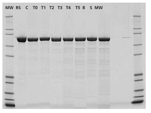
Following desorption, SDS–PAGE can be performed using standard procedures and commercial gels and reagents. The analysis of a model vaccine pictured in Figure 3 utilized a pre-cast gel (Thermo Invitrogen NuPAGE 4–12% Bis-Tris) with recommended sample and running buffers (NuPAGE LDS Sample Buffer and NuPAGE MOPS SDS Running Buffer). The gel shows results from analysis of SDS-desorbed model vaccine samples that had been stored at 37 °C for 0 to 5 days. Samples are reduced prior to loading the gel and stained using a Coomassie blue stain (NuPAGE Colloidal Blue Staining Kit). Gels were analyzed by densitometry (Bio-Rad GS-800 Densitometer with Quantity One software) for presence of additional bands due to degradation as well as % purity. Purity of the main band ranged from 96% for the Day 0 sample to 90–91% at Days 4 and 5, therefore demonstrating that the desorbed SDS–PAGE method is stability-indicating.
ICE analysis of a model BSA-Alhydrogel vaccine was performed using an imaged capillary electrophoresis system with detection at 280nm (ICE280 and ICE3 systems, Protein Simple). Samples were prepared using urea desorption and dialysis as described previously and then concentrated using spin filters. Samples, reference material, and a control sample were diluted in a diluent consisting of a mixture of pharmalyte 4–6.5, pharmalyte 3–10, 1 g/mL urea, 0.7% methylcellulose, and pI markers 5.12 and 6.61. Analysis was performed using acidic anolyte (0.1% methylcellulose, 0.08 M H3PO4), basic catholyte (0.1% methylcellulose, 0.10 M NaOH), and separation for 10 minutes at 3000V. The resulting electropherograms were analyzed (ChromPerfect 7 software) for isoform purity. Samples of model vaccine were stored at 37 °C for 0 through 5 days prior to analysis. See Figure 4 for an electropherogram overlay showing the isoform profiles for each sample. The main peaks are observed at pI 6.1 and 6.2 in non-degraded samples, but a significant shift toward more acidic isoforms is observed with longer storage at 37 °C. The desorbed ICE method is stability-indicating for detection of changes in isoform profile.
Conclusion
The nature of aluminum adsorbed vaccines presents challenges to the application of traditional bioanalytical methods commonly used for stability studies of therapeutic proteins. While studies have demonstrated structural and chemical modification of the protein antigen resulting from adsorption, and that adsorption may impact stability, little regulatory guidance is provided beyond the recommendation to include identity, purity, and potency in drug product release testing. Potency methods may not have the necessary accuracy and precision to predict vaccine effectiveness and stability throughout the shelf life of the product. Instead, a panel of tests adapted from traditional therapeutic protein analysis is proposed in Table I. Though historically, antigen characterization was performed following desorption, most of the methods proposed can be performed on the FDP directly. As MS-based peptide mapping methods, such as MAM, continue to grow in popularity, the need for desorption followed by electrophoretic and chromatographic methods for the determination of fragmentation or chemical modification may be eliminated.
References
1. E. Linblad, Immunology and Cell Biology, 82 (5), pp. 497-505 (2004).
2. D. Hagan, Current Opinion in Immunology, 47, pp. 93-102 (2017).
3. B. Lambrecht, Current Opinion in Immunology, 21, pp. 23-29 (2009).
4. L. Peek, Journal of Pharmaceutical Sciences, 96 (3), pp. 547-557 (2007).
5. S. Seeber, Vaccine, 9 (3), pp. 201-203 (1991).
6. M. Huang, International Journal of Pharmaceutics, 466 (1-2), pp. 139-146 (2014).
7. S. Iyer, Vaccine, 22 (11-12), pp. 1475-1479 (2004).
8. P. Egan, Vaccine, 27 (24), pp. 3175-3180 (2009).
9. B. Hansen, Vaccine, 27 (6), pp. 888-892 (2009).
10. B. Ljutic, Vaccine, 30 (19), pp. 2981-2988 (2012).
11. T. Clapp, Journal of Pharmaceutical Sciences, 100 (2), pp. 388-401 (2011).
12. A. Wittayanukulluk, Vaccine, 22 (9-10), pp. 1172-1176 (2004).
13. L. Jones, Journal of Biological Chemistry, 280 (14), pp. 13406-13414 (2005).
14. A. Dong, Analytical Biochemistry, 351 (2), pp. 282-289 (2006).
15. Y. Zheng, Spectroscopy, 21(4), pp. 211-226 (2007).
16. C. Vessely, Journal of Pharmaceutical Sciences, 98 (9), pp. 2970-2993 (2009).
17. J. Jezek, Human Vaccines, 5(8), pp. 529-535 (2009).
18. FDA,
19. USP, Chapter <1235> Vaccines for Human Use- General Considerations, USP 41–NF 36, In: Official Prior to 2013. s.l.:s.n.
20. USP, Anthrax Adsorbed Monograph. USP 41-NF 36, In: First Supplement Official as of August 1, 2018. s.l.:s.n.
21. USP, USP Chapter <1057>Biotechnology Derived Articles- Total Protein Assay, USP 41-NF 36, In: Official Prior to 2013. s.l.:s.n.
22. ICH, Q5E
23. S. Hem, Vaccine, 28 (31), pp. 4868-4870 (2010).
24. E. Zhu, Vaccine, 30 (2), pp. 189-194 (2012).
25. S. Jendrek, Vaccine, 21 (21-22), pp. 3011-3018 (2003).
26. C. Gravel,
27. D. Zhu, Journal of Immunology Methods, 344 (1), pp. 73-78 (2009).
28. D. Zhu, Vaccine, 27 (43), pp. 6054-6059 (2009).
29. T. Estey, Journal of Pharmaceutical Sciences, 98(9), pp. 2994-3012 (2009).
30. R. Rogers, mAbs, 7 (5), pp. 881-890 (2015).
31. J. Rinella, Journal of Colloid and Interface Science, 197 (1), pp. 48-56 (1998).
Article Details
Pharmaceutical Technology
Vol. 43, No. 9
September 2019
Pages: 42–52
Citation
When referring to this article, please cite it as W. Saffell-Clemmer and E. Joseph, "Stability Indicating Methods for Aluminum Adsorbed Vaccine Products," Pharmaceutical Technology 43 (9) 2019.
Articles in this issue
about 6 years ago
Pharma’s Got Talent?about 6 years ago
The Big Deal Behind the ‘No-Deal’ Scenarioabout 6 years ago
EMA’s Regulatory Impact: Not Yet in its PRIMEabout 6 years ago
Using Digital Tools to Optimize Facility Designabout 6 years ago
The Road to Real-Time Release: At-line NIR Testingabout 6 years ago
Putting NIR to Good Use in Tablet Formulation and Manufactureabout 6 years ago
Improved Mixer Lift and Seal Designsabout 6 years ago
Mass Flow ControllersNewsletter
Get the essential updates shaping the future of pharma manufacturing and compliance—subscribe today to Pharmaceutical Technology and never miss a breakthrough.





